Sorrisos que Inspiram Confiança!
Combinando técnica avançada e estética, proporciono tratamentos odontológicos que vão além da beleza. Seja com implantes, lentes de contato ou clareamento, cada sorriso é transformado com segurança e precisão para que você se sinta confiante e saudável.


Conheça o
Dr. Alex Oliveira
Dr. Alex Oliveira é cirurgião-dentista e professor de implantodontia, dedicando-se a oferecer os melhores tratamentos e compartilhar seu amplo conhecimento e expertise na área. Sua maior satisfação é reabilitar seus pacientes, proporcionando-lhes saúde, autoestima e qualidade de vida.


"Atendimento guiado pelos princípios da ética e do que é direito."
Dr. Alex Oliveira
Serviços Odontológicos
Oferecemos tratamentos de implantodontia e cuidados odontológicos de acordo com a necessidade de cada paciente.
Implantodontia Avançada


Tratamentos personalizados com implantes dentários, garantindo qualidade e segurança para o paciente.




Consulta Odontológica
Orientações e cuidados para manter a saúde bucal em dia, com expertise do Dr. Alex Oliveira e equipe.
Acompanhamento diferenciado e suporte pós procedimento para garantir resultados duradouros e satisfatórios.
Suporte Pós-Tratamento
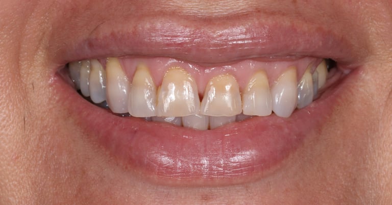
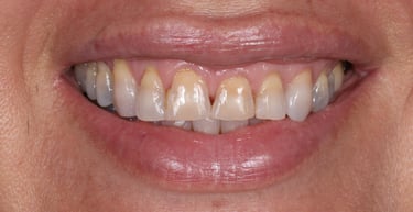
Transforme o Seu Sorriso
Explore os trabalhos do Dr. Alex Oliveira em implantodontia.


Antes
Depois




Antes
Depois


Antes
Depois
Avaliações
Veja o que os pacientes dizem sobre o Dr. Alex Oliveira.



Saúde
Odontologia e ensino de implantodontia com excelência.
Contato
contato@alexoliveiraodontologia.com.br
85 3109-0988
© 2024. Todos os direitos reservados
Dr. Alex Oliveira - CRO-CE 3694
ENDEREÇO
85 9991-1442
